Is Dental Fluorosis Permanent .   most cases of fluorosis are mild, not painful, and don't cause any permanent damage to a child's teeth.   dental fluorosis is a common condition affecting both primary and secondary dentitions;   dental fluorosis is a condition caused by excessive fluoride intake while teeth are developing.   dental fluorosis is a cosmetic condition that causes changes to the tooth’s surface. It can affect the appearance of the. If severe fluorosis occurs, it can usually be treated through a number of cosmetic dentistry techniques such as whitening or veneers. It can occur in children who consume.   dental fluorosis is a change in tooth appearance caused by too much fluoride when teeth are growing.   fluorosis is a cosmetic condition that affects the teeth. However, the effects on secondary. It’s caused by overexposure to fluoride during the first.
        
        from brighteningcare.com 
     
        
        If severe fluorosis occurs, it can usually be treated through a number of cosmetic dentistry techniques such as whitening or veneers.   dental fluorosis is a common condition affecting both primary and secondary dentitions; It can affect the appearance of the. It’s caused by overexposure to fluoride during the first.   dental fluorosis is a condition caused by excessive fluoride intake while teeth are developing. It can occur in children who consume.   dental fluorosis is a cosmetic condition that causes changes to the tooth’s surface.   most cases of fluorosis are mild, not painful, and don't cause any permanent damage to a child's teeth.   fluorosis is a cosmetic condition that affects the teeth.   dental fluorosis is a change in tooth appearance caused by too much fluoride when teeth are growing.
    
    	
            
	
		 
         
    Classification of Fluorosis Stains on Teeth Brightening Care 
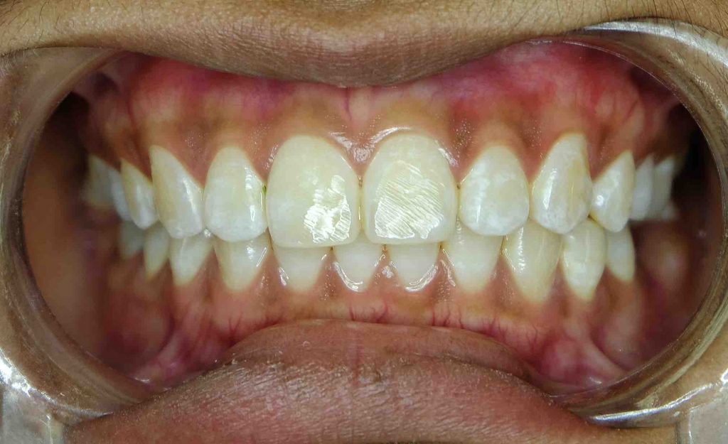
    Is Dental Fluorosis Permanent    most cases of fluorosis are mild, not painful, and don't cause any permanent damage to a child's teeth. If severe fluorosis occurs, it can usually be treated through a number of cosmetic dentistry techniques such as whitening or veneers.   dental fluorosis is a condition caused by excessive fluoride intake while teeth are developing.   fluorosis is a cosmetic condition that affects the teeth.   dental fluorosis is a cosmetic condition that causes changes to the tooth’s surface. It can occur in children who consume. It can affect the appearance of the. It’s caused by overexposure to fluoride during the first.   dental fluorosis is a change in tooth appearance caused by too much fluoride when teeth are growing.   most cases of fluorosis are mild, not painful, and don't cause any permanent damage to a child's teeth. However, the effects on secondary.   dental fluorosis is a common condition affecting both primary and secondary dentitions;
            
	
		 
         
 
    
        From smilekraftdentistry.com 
                    Smile Designing in India Treatment for dental fluorosis, permanent Is Dental Fluorosis Permanent    fluorosis is a cosmetic condition that affects the teeth. However, the effects on secondary.   dental fluorosis is a common condition affecting both primary and secondary dentitions;   most cases of fluorosis are mild, not painful, and don't cause any permanent damage to a child's teeth. It can occur in children who consume. If severe fluorosis occurs, it can. Is Dental Fluorosis Permanent.
     
    
        From www.thehealthsite.com 
                    Dental Fluorosis Symptoms 5 Warning Signs of This Severe Metabolic Is Dental Fluorosis Permanent  If severe fluorosis occurs, it can usually be treated through a number of cosmetic dentistry techniques such as whitening or veneers.   dental fluorosis is a condition caused by excessive fluoride intake while teeth are developing.   fluorosis is a cosmetic condition that affects the teeth. It’s caused by overexposure to fluoride during the first.   most cases of fluorosis. Is Dental Fluorosis Permanent.
     
    
        From www.researchgate.net 
                    Teeth with severe dental fluorosis were treated with microabrasion and Is Dental Fluorosis Permanent  If severe fluorosis occurs, it can usually be treated through a number of cosmetic dentistry techniques such as whitening or veneers.   dental fluorosis is a change in tooth appearance caused by too much fluoride when teeth are growing. However, the effects on secondary.   fluorosis is a cosmetic condition that affects the teeth.   dental fluorosis is a condition. Is Dental Fluorosis Permanent.
     
    
        From healthjade.net 
                    Dental fluorosis causes, prevention, symptoms & dental fluorosis treatment Is Dental Fluorosis Permanent    dental fluorosis is a condition caused by excessive fluoride intake while teeth are developing. However, the effects on secondary.   dental fluorosis is a cosmetic condition that causes changes to the tooth’s surface.   fluorosis is a cosmetic condition that affects the teeth. It can occur in children who consume.   dental fluorosis is a change in tooth appearance. Is Dental Fluorosis Permanent.
     
    
        From brighteningcare.com 
                    Classification of Fluorosis Stains on Teeth Brightening Care Is Dental Fluorosis Permanent    dental fluorosis is a condition caused by excessive fluoride intake while teeth are developing.   dental fluorosis is a change in tooth appearance caused by too much fluoride when teeth are growing.   most cases of fluorosis are mild, not painful, and don't cause any permanent damage to a child's teeth. If severe fluorosis occurs, it can usually be. Is Dental Fluorosis Permanent.
     
    
        From en.wikipedia.org 
                    FileDental fluorosis.jpg Wikipedia Is Dental Fluorosis Permanent  It’s caused by overexposure to fluoride during the first.   dental fluorosis is a change in tooth appearance caused by too much fluoride when teeth are growing. If severe fluorosis occurs, it can usually be treated through a number of cosmetic dentistry techniques such as whitening or veneers.   dental fluorosis is a common condition affecting both primary and secondary. Is Dental Fluorosis Permanent.
     
    
        From www.youtube.com 
                    दाँतो के पीले सफ़ेद धब्बो का इलाज । Dental Fluorosis permanent Is Dental Fluorosis Permanent  It can affect the appearance of the. It’s caused by overexposure to fluoride during the first.   dental fluorosis is a cosmetic condition that causes changes to the tooth’s surface.   dental fluorosis is a common condition affecting both primary and secondary dentitions;   most cases of fluorosis are mild, not painful, and don't cause any permanent damage to a. Is Dental Fluorosis Permanent.
     
    
        From www.slideserve.com 
                    PPT ABNORMALITIES OF TEETH PowerPoint Presentation, free download Is Dental Fluorosis Permanent  It can occur in children who consume.   most cases of fluorosis are mild, not painful, and don't cause any permanent damage to a child's teeth.   dental fluorosis is a change in tooth appearance caused by too much fluoride when teeth are growing.   fluorosis is a cosmetic condition that affects the teeth. If severe fluorosis occurs, it can. Is Dental Fluorosis Permanent.
     
    
        From www.vitaldent.com 
                    ¿Qué es la fluorosis dental? · Causas y Tratamiento Vitaldent Is Dental Fluorosis Permanent    dental fluorosis is a change in tooth appearance caused by too much fluoride when teeth are growing.   most cases of fluorosis are mild, not painful, and don't cause any permanent damage to a child's teeth. If severe fluorosis occurs, it can usually be treated through a number of cosmetic dentistry techniques such as whitening or veneers. It’s caused. Is Dental Fluorosis Permanent.
     
    
        From ar.inspiredpencil.com 
                    Causes Of Dental Fluorosis Is Dental Fluorosis Permanent  It can occur in children who consume.   dental fluorosis is a condition caused by excessive fluoride intake while teeth are developing. However, the effects on secondary.   dental fluorosis is a common condition affecting both primary and secondary dentitions; It’s caused by overexposure to fluoride during the first.   dental fluorosis is a cosmetic condition that causes changes to. Is Dental Fluorosis Permanent.
     
    
        From elfprojekt.com 
                    Fluoride Understanding Its Effects on Health Elfprojekt Is Dental Fluorosis Permanent    most cases of fluorosis are mild, not painful, and don't cause any permanent damage to a child's teeth.   dental fluorosis is a change in tooth appearance caused by too much fluoride when teeth are growing. It can occur in children who consume.   dental fluorosis is a cosmetic condition that causes changes to the tooth’s surface. It’s caused. Is Dental Fluorosis Permanent.
     
    
        From gpnotebook.com 
                    Dental fluorosis GPnotebook Is Dental Fluorosis Permanent  However, the effects on secondary. It can affect the appearance of the.   dental fluorosis is a change in tooth appearance caused by too much fluoride when teeth are growing.   most cases of fluorosis are mild, not painful, and don't cause any permanent damage to a child's teeth. It’s caused by overexposure to fluoride during the first.   dental. Is Dental Fluorosis Permanent.
     
    
        From allsmilesdentspa.com 
                    Dental Fluorosis Symptoms, Causes, Treatments Is Dental Fluorosis Permanent    fluorosis is a cosmetic condition that affects the teeth.   dental fluorosis is a change in tooth appearance caused by too much fluoride when teeth are growing.   dental fluorosis is a cosmetic condition that causes changes to the tooth’s surface.   dental fluorosis is a condition caused by excessive fluoride intake while teeth are developing. If severe fluorosis. Is Dental Fluorosis Permanent.
     
    
        From healthjade.com 
                    Dental fluorosis causes, prevention, symptoms & dental fluorosis treatment Is Dental Fluorosis Permanent    most cases of fluorosis are mild, not painful, and don't cause any permanent damage to a child's teeth. If severe fluorosis occurs, it can usually be treated through a number of cosmetic dentistry techniques such as whitening or veneers. It’s caused by overexposure to fluoride during the first.   fluorosis is a cosmetic condition that affects the teeth. . Is Dental Fluorosis Permanent.
     
    
        From www.linkedin.com 
                    Dental Fluorosis Is Dental Fluorosis Permanent  However, the effects on secondary. It can affect the appearance of the.   dental fluorosis is a change in tooth appearance caused by too much fluoride when teeth are growing.   dental fluorosis is a common condition affecting both primary and secondary dentitions;   fluorosis is a cosmetic condition that affects the teeth. If severe fluorosis occurs, it can usually. Is Dental Fluorosis Permanent.
     
    
        From www.dentistrytoday.com 
                    Study Reveals Molecular Mechanics Behind Dental Fluorosis Dentistry Today Is Dental Fluorosis Permanent  It’s caused by overexposure to fluoride during the first.   dental fluorosis is a cosmetic condition that causes changes to the tooth’s surface. It can affect the appearance of the.   dental fluorosis is a common condition affecting both primary and secondary dentitions;   fluorosis is a cosmetic condition that affects the teeth. It can occur in children who consume.. Is Dental Fluorosis Permanent.
     
    
        From www.slideserve.com 
                    PPT DENTAL FLUOROSIS PowerPoint Presentation, free download ID2256165 Is Dental Fluorosis Permanent    fluorosis is a cosmetic condition that affects the teeth.   dental fluorosis is a change in tooth appearance caused by too much fluoride when teeth are growing.   dental fluorosis is a condition caused by excessive fluoride intake while teeth are developing. It’s caused by overexposure to fluoride during the first.   dental fluorosis is a common condition affecting. Is Dental Fluorosis Permanent.
     
    
        From healthjade.com 
                    Dental fluorosis causes, prevention, symptoms & dental fluorosis treatment Is Dental Fluorosis Permanent  It can affect the appearance of the.   fluorosis is a cosmetic condition that affects the teeth. It’s caused by overexposure to fluoride during the first. However, the effects on secondary.   dental fluorosis is a condition caused by excessive fluoride intake while teeth are developing.   dental fluorosis is a change in tooth appearance caused by too much fluoride. Is Dental Fluorosis Permanent.